Zenith vascular and fibroid center white scaled
  • Home
  • About
  • Conditions
    • Carotid Artery Disease
    • Abdominal Aortic Aneurysms
    • Peripheral Arterial Disease
    • Plantar Fascia Embolization
    • Arterial Embolization of the Shoulder
    • Venous Disease
    • Wound Care
    • More Conditions
  • Testimonials
  • Resources
    • Frequently Asked Questions
    • Patient Education
    • Peripheral Arterial Disease Quiz
    • Free PAD Brochure
  • Referrals
  • Zenith Shop
    • PAD
    • Veins
    • Neuropathy
    • Diet
    • Exercise
    • Wound Healing
  • Contact
Call 901-779-5000

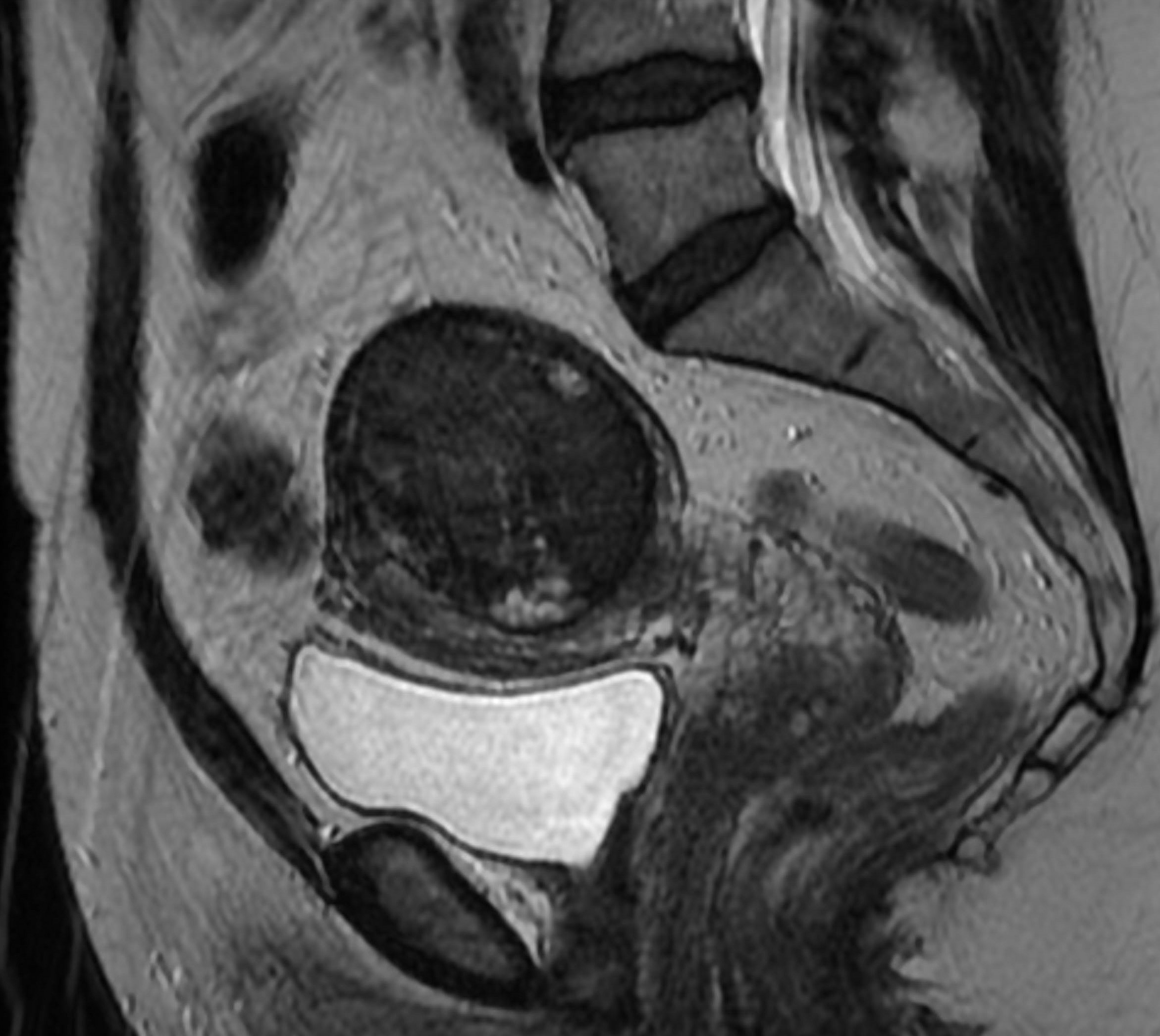
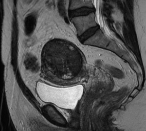
uterine-fibroid-ufe-2-after

  • How Carbs Affect Your Vascular Health
  • The Connection Between Claudication and PAD
  • Easy Workouts for PAD and Leg Pain Relief
  • What Causes Varicose Veins?
  • Causes and Risk factors of Abdominal Aortic Aneurysm (AAA)

Recent Comments

No comments to show.

Patient Education

Aortic abdominal aneurysm pain symptoms

What is AAA?

Abdominal Aortic Aneurysm is a serious medical condition that can lead to life-threatening complications if left untreated.

Learn More about AAA

picture of painful soreness in leg pain

The Connection Between Claudication and PAD

When individuals with PAD exercise, their muscles require more oxygen-rich blood. However, due to the narrowed arteries, sufficient blood flow cannot reach the muscles, resulting in pain known as claudication.

Read more about PAD Claudication

zenith-vascular-brain-coritid-artery-blog

Am I at risk for Carotid Artery Disease?

There may be no symptoms in the early stages of carotid artery disease, and stroke could be the first sign of the condition. Learn more about the causes and risk factors.

Don’t wait, get screened for CAD today

zenith vascular vascular health physical activity blog

How Can I Improve My Vascular Health?

Physical activity helps to burn calories, increase the heart rate, and keep blood flowing at a healthy rate.

Take control of your health today

zenith vascular health-stop smoking

Smoking and Vascular Disease

You hear it can cause cancer, heart attacks and strokes. Smoking increases the narrowing of arteries in the neck that lead to the brain.

Read our tips on smoking cessation

picture of Dr. Zeni and Dr. Majors

The Zenith Shop

Browse our curated shop for your vascular health. Doctor recommended products for diet and exercise to help improve your vascular health.

Browse recommended products

Conditions

Services we offer

Carotid Artery Disease

Carotid artery disease is a condition in which the carotid arteries, which supply blood to the brain, become narrowed or blocked due to a buildup of plaque.

Varicose Veins

Heel Pain

Limb Salvation

Prompt and effective interventions to save limbs from irreversible damage.

Venous Disease

Vascular Surgery

Abdominal Aortic Aneurysm

If an AAA is suspected, you will likely be referred for an abdominal ultrasound, a painless, safe test that can screen for and measure the size of an AAA.

Peripheral Arterial Disease

PAD is a severe medical condition common in the US. Although many people have the disease, few pay attention to the symptoms until it has progressed.

Professional Wound Care

Our team of highly skilled medical professionals utilizes the latest advancements in wound care technology to ensure effective treatment and faster healing.

Vascular Diagnostics Lab

All Major Insurances Accepted

Contact Us

Contact Form (Horiz)
5645 murray zenith vascular and fibroid center
Zenith vascular and fibroid center white scaled

Treatments by Zenith

Varicose Veins

Uterine Fibroid Embolization

Enlarged Prostate (BPH)

Osteoarthritis Knee Pain

Quick Links

About Us

Conditions

Patient Education

Vascular Testimonials

Insurances Accepted

Contact Us

Free PAD Brochure

Office

(901) 779-5000
service@zenithmemphis.com
5645 Murray Ave., Ste 102, Memphis, TN 38119

  • Follow
  • Follow
  • Follow
  • Follow
© 2026 Zenith Vascular & Fibroid Center

Site Map | TOS/Privacy Policy | Design by CreateDev